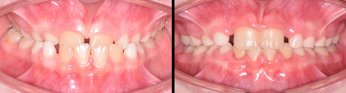
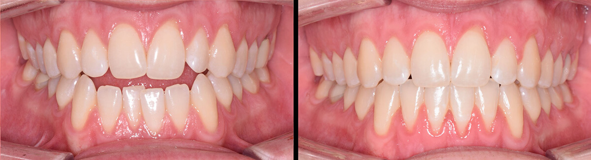
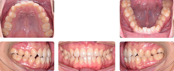
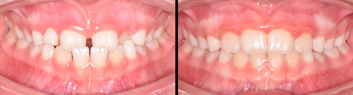
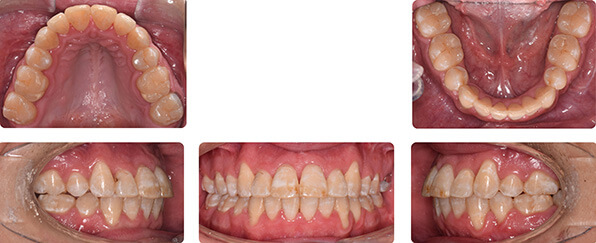
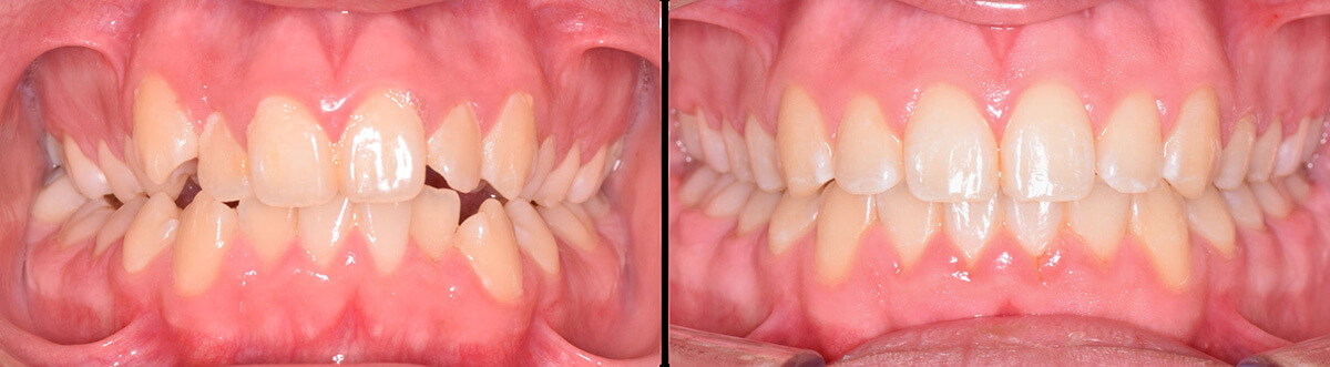
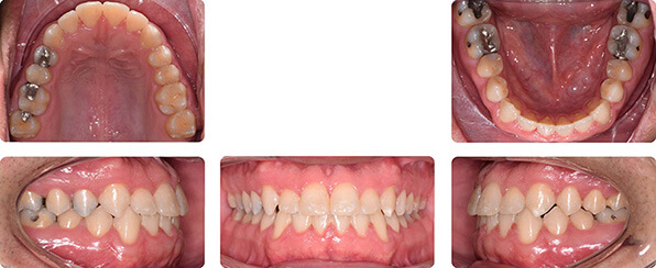
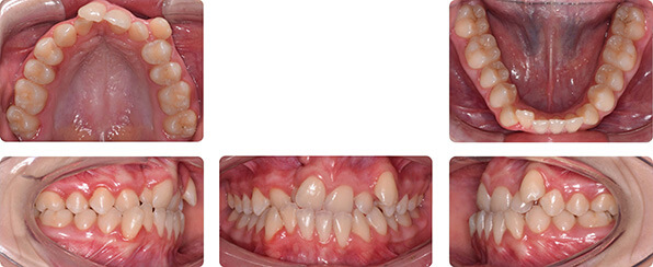
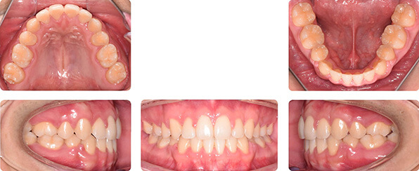
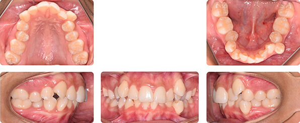
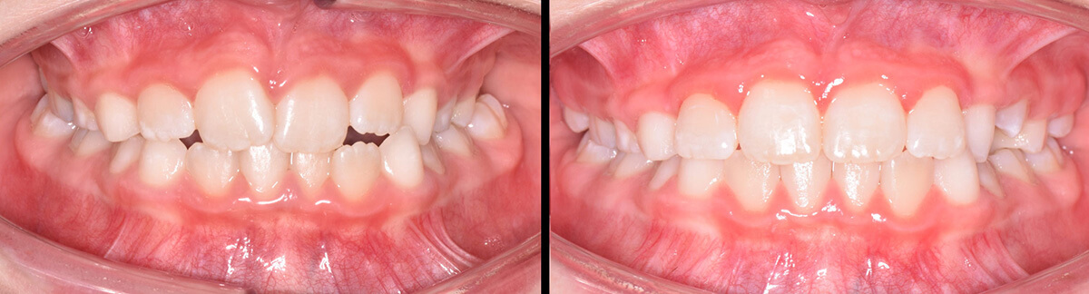
Experience the incredible transformations our patients have achieved! Visit our office to see inspiring before-and-after photos that showcase the beautiful smiles we create every day.
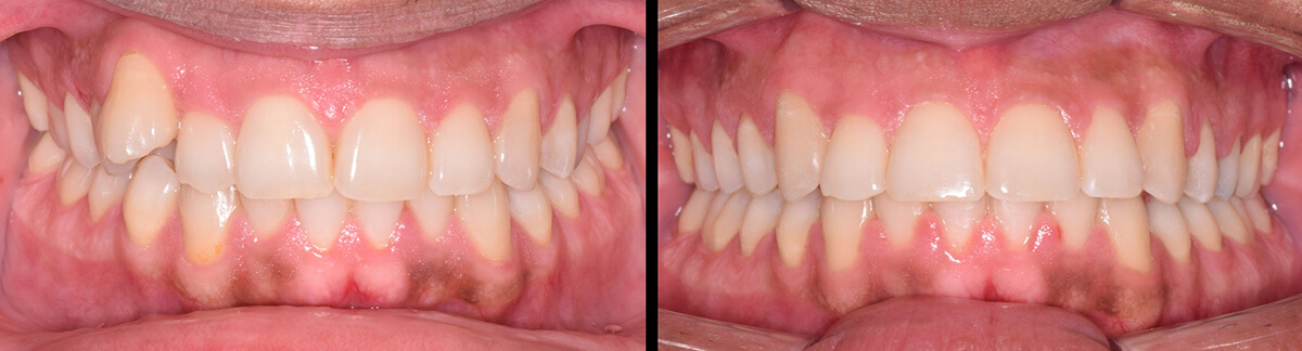
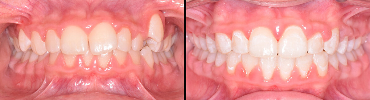
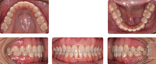
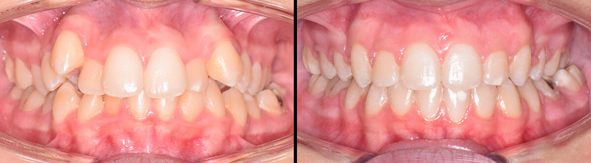
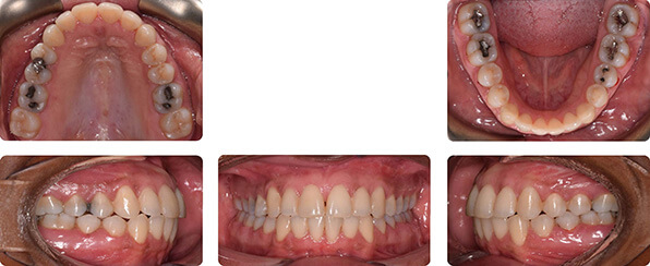
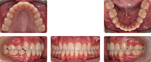
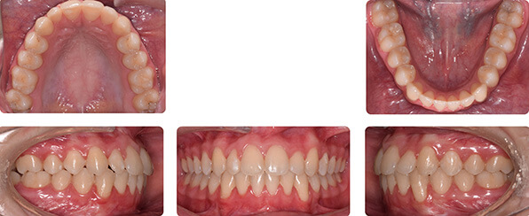
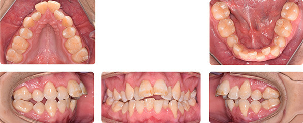
Experience the incredible transformations our patients have achieved! Visit our office to see inspiring before-and-after photos that showcase the beautiful smiles we create every day.